Get all your news in one place.
100’s of premium titles.
One app.
Start reading
The Conversation
The Conversation
Health
Naeem Ramzan, Professor of Computing Engineering, University of the West of Scotland

No PCR, no problem: how COVID can be diagnosed with X-rays

Bal Iryna/Shutterstock

It sounds simple, but to treat someone you suspect has COVID, you need to confirm they are actually infected with the coronavirus. In the UK, it is easy to take this for granted – we’ve had a reliable detection method for diagnosing infected patients widely available since early on in the pandemic. This allowed for people to be treated and cared for promptly, saving lives.

The main technique for identifying whether someone has COVID is called reverse transcription polymerase chain reaction testing – or RT-PCR. This process can tell whether the coronavirus’s genetic material is present in a sample taken from a person, usually gathered my swabbing inside the nose or throat.

This testing is normally done in a lab, and the resources needed mean that doing it at scale is a major challenge. High-income countries have been able to scale up their COVID testing at great cost, but in some low- and middle-income countries – such as Pakistan, Sri Lanka, India and many African countries – health staff haven’t been able to carry out large numbers of COVID tests due to a lack of resources. This is a particular problem in remote locations.

On top of this, PCR testing isn’t very quick. It typically takes around two hours, and longer if extra time is needed to get the test sample to a suitable lab for testing. In many cases, confirming whether someone has the virus needs to happen much more rapidly. When someone has severe COVID, treatment really needs to start immediately. Quickly diagnosing the disease is potentially life saving.

A scientist preparing samples for PCR testing in a lab
Because it’s lab-based, PCR testing takes time and isn’t widely available all around the world. tilialucida/Shutterstock

So, our team investigated whether a quick and reliable alternative to PCR testing could be provided by using commonly available hospital equipment – namely, the machines available in the radiography department.

COVID shows up in chest scans

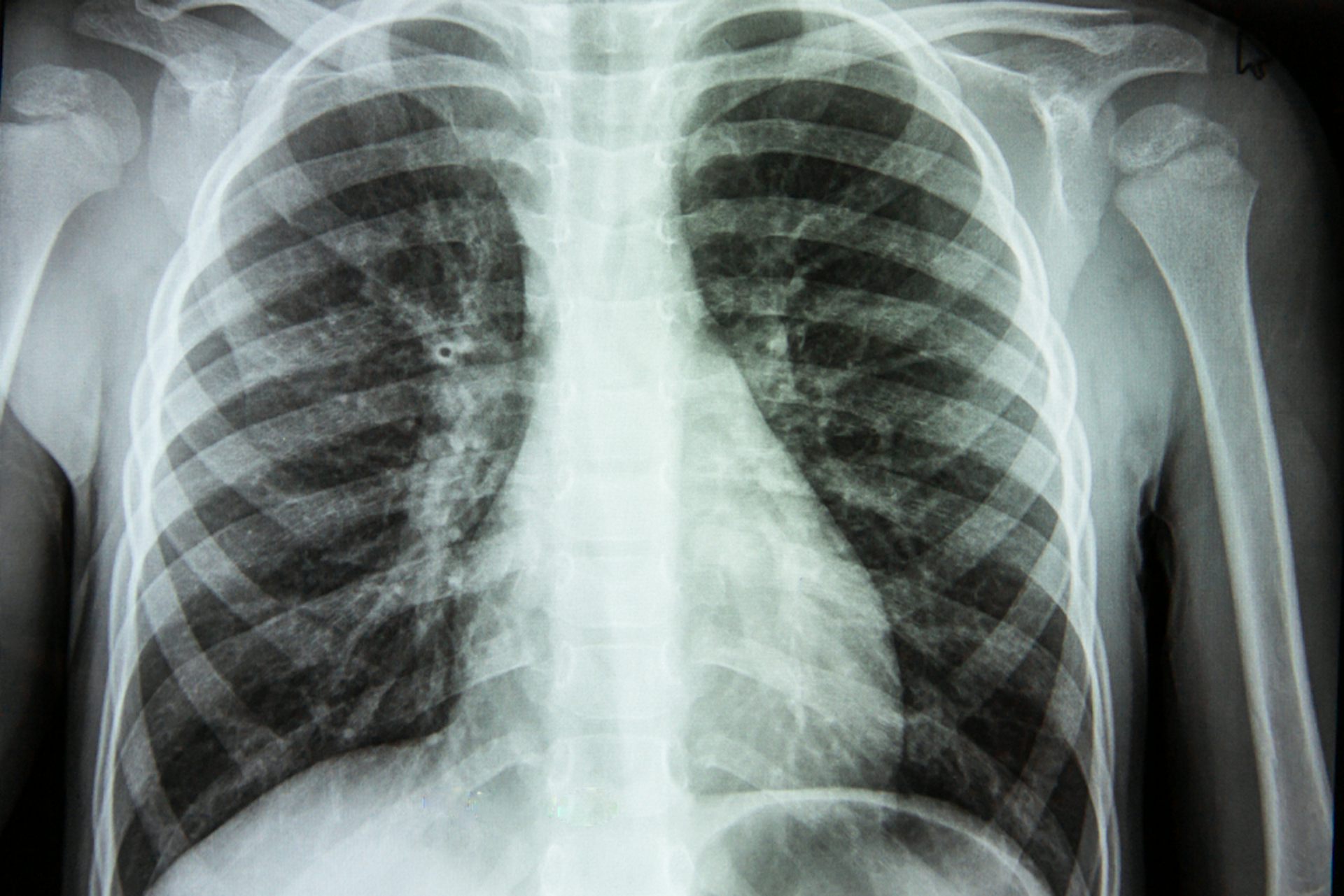
Chest-imaging techniques – such as computed tomography (CT) or X-ray – can be analysed by radiologists to search for visual markers of a COVID infection. Investigations early on in the pandemic found that abnormalities showed up in the chest radiography images of patients with the virus, leading the World Health Organization to recommend using radiography for diagnosing COVID when PCR testing isn’t available, especially for severe patients.

But there’s a resource bottleneck here, too. Using X-rays and CT scans for diagnosis requires radiologists to carefully decipher the chest images, since COVID’s visual pointers can be hard to spot. So, we created an artificial intelligence program to do this instead, to speed up diagnosis and allow radiologists to get on with their jobs.

The program is based on something called a deep convolutional neural network, a type of algorithm typically used to analyse images. Such algorithms can pick out the key features of images and classify those that have similarities and differences.

We began by training and testing a number of different algorithms – some already existing, some that we had created – using a database of around 3,000 chest X-rays. These were a mix of scans from patients with COVID, healthy individuals and people with viral pneumonia. As we worked, we tweaked the algorithms to make them better at spotting the differences between the X-rays. Over time, we found that one clearly performed better than the others.

We then evaluated this top performer by giving it a completely new set of X-rays that it hadn’t seen before, and asked it to determine whether each came from a COVID patient or not. The program got the answer right 98.04% of the time.

How could this be used?

Following these results, we developed an app that could run the program outside of our lab, so that it could be used in places where it could make a difference. The app doesn’t require lots of computer memory or power to run and so can be installed on normal PCs and laptops.

A doctor using a laptop
The diagnosis app doesn’t require any complex equipment to run – just a standard computer. wavebreakmedia/Shutterstock

It has been designed in such a way that no additional equipment is needed. Patient X-rays just have to be uploaded to the app via USB or the web, and then the algorithm analyses the image and gives back a result indicating if it is COVID positive or not.

This app will not replace PCR. But it could be very effective in A&E departments where patients come in with severe illness. It would allow for a chest X-ray to be quickly taken and analysed, and if the patient is positive, for treatment to start straightaway rather then waiting for lab results. As well as being beneficial for patients, this could also speed up their passage onto suitable wards elsewhere in the hospital, and so relieve the strain on hard-pressed A&E departments.

The app could also be very effective at diagnosing COVID cases in low-income countries and remote areas where PCR is not readily available. So, as a next step, we’re planning to test it out in Pakistan, as part of the EU-funded SAFE RH project, to see what impact it can have in the real world.

The Conversation

The authors do not work for, consult, own shares in or receive funding from any company or organisation that would benefit from this article, and have disclosed no relevant affiliations beyond their academic appointment.

This article was originally published on The Conversation. Read the original article.

Sign up to read this article
Read news from 100’s of titles, curated specifically for you.
Already a member? Sign in here
Related Stories
Top stories on inkl right now
One subscription that gives you access to news from hundreds of sites
Already a member? Sign in here
Our Picks
Fourteen days free
Download the app
One app. One membership.
100+ trusted global sources.