
A recurring fantasy in science fiction is the implantation of tiny elements in peoples’ brains, which would be used to control and direct our actions and emotions. Regardless of the direction that technological development may take in this sense, in nature these tricks were invented millions of years ago. Different types of parasites are able to modify the behaviour of organisms that host them, forcing them to stop acting to conserve their own genes to become promoters of foreign ones.
Toxoplasma gondii is one of the most common parasites in humans. It is hosted by approximately one third of people. Even so, most of us only know of its existence during pregnancy, when pregnant women receive instructions to not eat uncooked meat because it might cause toxoplasma gondii. Nevertheless, all signs point to the fact that it plays an important role in many aspects of our lives.
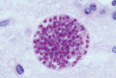
Toxoplasma is a protozoan, a unicellular being so small that it lives inside animal cells. This parasite only reproduces sexually in the intestine of felines (the definitive hosts) but it has a complex life cycle and spends periods of time being hosted by other animals – from birds to crocodiles and from rodents to cetaceans. The list of possible hosts also includes humans.
Intermediate hosts acquire toxoplasma by ingesting its oocysts (which are a bit like its eggs) via surfaces or food contaminated with feline excrement, or by ingesting other intermediate hosts that are already infected.
When toxoplasma enters the body of intermediate hosts, it acts in a very surprising way. It begins to reproduce asexually and takes control of our immune system, promoting a specific response that causes the parasite to form cysts in different tissues, with a preference for the brain.
When the immune response is deficient, as occurs with foetuses or immunosuppressed individuals (for example, people with HIV), the toxoplasma does not encyst and proliferates in the intermediate host, thereby causing severe disease. When the immune response does act, the process of infection and cyst formation is asymptomatic or generates only mild discomfort.
These cysts are essentially waiting for a feline to come along and eat the intermediate host – which would give rise to a new population of toxoplasma. But the wait is far from passive. The toxoplasma does everything it can to make this predation event happen. And it can do a lot.
Kamikaze mice
As a general rule, without toxoplasma, rodents try to minimise the chance of being eaten by predators. To do this, they travel via sheltered places and move away when they come across any evidence of the presence of cats.
When a rodent hosts toxoplasma cysts, however, it begins to exhibit reckless behaviour, exposing itself in open areas and going to places marked with the scent of cat faeces and urine. Equally uninhibited behaviours occur in other animals hosting toxoplasma cysts. Hyenas get closer to lions, Tasmanian marsupials start being careless and are more frequently run over on roads and sea otters (infected by contamination of the water with cat faeces) fall prey to sharks more easily.
The abandoning of prudent behaviour implies a radical change in one of the main premises of animal life – the drive for self-preservation. A tiny parasite starts making the decisions rather than the animal.
So, could it also be possible that toxoplasma influences human behaviour?
Until recently, the presence of toxoplasma cysts in humans was considered to be asymptomatic. But there is an increasing amount of solid evidence to the contrary. It has been proven that the presence of toxoplasma cysts among people who die in traffic accidents is disproportionately high, and it is thought that the parasite would be responsible for several million of these accidents each year.
Accidents are not necessarily the result of fearless behaviour, but a recent study of around 100 deaths linked reckless deaths to toxoplasma infection, as occurs in rats, mice, hyenas or sea otters. It is also known that around 20% of cases of schizophrenia are related to the presence of toxoplasma cysts, and there are indications that they are involved in other psychological disorders.
Likewise there is a strong association between toxoplasma and suicide attempts, to the point that it is estimated that every year more than one million suicide attempts worldwide are related to the parasite.
Until now, toxoplasma in a dormant state presents itself as a serious public health problem, which poses enormous challenges to health systems and which, until very recently, had been overlooked. But there’s more.
Entrepreneur cysts
Toxoplasma generates behavioural changes with potential importance in human societies. For example, there seems to be a relationship between carrying toxoplasma cysts and starting a business. People carrying the parasite are more likely to want to be entrepreneurs when they are students and to start their own businesses in adult life.
In a study involving more than 16,000 Danish women, it was found that those living with toxoplasma were more entrepreneurial, a particularly notable difference when it came to solo entrepreneurship, but they also abandoned their business venture more easily. These observations may be related to those of another study in which it was observed that hosting toxoplasma causes people to place less importance on the benefits they can obtain from their actions, which would make them take more risks, dismissing the consequences.
All these changes seem to reflect a decrease in neophobia associated with toxoplasma, which would make us face new situations without fearing the risks they imply. This reduced fear of the unknown is characteristic of individuals responsible for new inventions, who are the ones who create cultural innovations.
Along the same lines, it is possible to speculate about the role of toxoplasma in great changes in human societies. I like to imagine that the first person who painted animals or represented the palms of their hands on a cave had toxoplasma cysts in their brain, just like the person who dared to control fire or create musical instruments. Perhaps those who embarked on intrepid voyages of exploration, those who tried drugs for the first time, those who began breeding the wolves that eventually gave rise to the dog, or those who grew the teosinte that finally produced corn, had toxoplasma. Perhaps Bach, Frida Kahlo, Jimmy Hendrix or Marie Curie achieved their achievements with the help of a small parasite hosted in their brains, waiting for a feline to eat them.
A parasite against free will
We humans like to see ourselves as the pinnacle of evolution. But toxoplasma is here to take us down a notch. What we consider to be our free will may, in some cases, actually be the intentions of a tiny being that has slipped into our brains.
It could even be the case that this parasite has participated in humanity’s great innovations and feats.
Miguel Clavero Pineda does not work for, consult, own shares in or receive funding from any company or organization that would benefit from this article, and has disclosed no relevant affiliations beyond their academic appointment.
This article was originally published on The Conversation. Read the original article.